Инвалидная коляска для кокер-спаниеля
Кокер-спаниель по кличке Ванда родилась с серьезной деформацией передних лап. Даже операция не помогла животному обрести способность нормально передвигаться.
Ветеринары предлагали усыпить 10-месячную собаку, но волонтеры вместо этого решили собрать для Ванды средства на инвалидную коляску.
Кокер-спаниель по кличке Ванда родилась с искривленными передними лапами




После неудачной операции ветеринары предлагали усыпить Ванду, но волонтеры отказались. Предприимчивые Эйлин и Керри начали сбор средств для питомицы и нашли американскую компанию, изготавливающую на заказ инвалидные коляски для собак.




38-летняя Керри признается: «Ванда — маленькое чудо. С каждым днем мы все больше гордимся ею. Покупка инвалидной коляски — наше лучшее решение. Она открыла так много возможностей».
Ветеринары до сих пор удивляются, что Ванда не только научилась передвигаться на инвалидной коляске, но еще и занимается плаванием.
Ветеринары предлагали усыпить 10-месячную собаку, но волонтеры вместо этого решили собрать для Ванды средства на инвалидную коляску.
Кокер-спаниель по кличке Ванда родилась с искривленными передними лапами

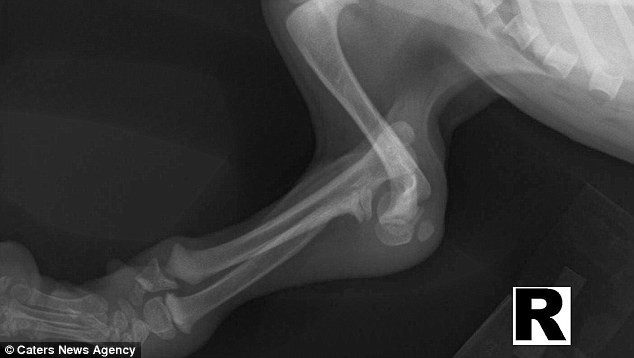
Рентгеновский снимок, на котором видно, как деформированы лапы собаки

Собаке была проведена операция, но она не помогла

Волонтеры собрали для Ванды деньги, на которые была изготовлена особая инвалидная коляска

Волонтеры Эйлин и Керри

После неудачной операции ветеринары предлагали усыпить Ванду, но волонтеры отказались. Предприимчивые Эйлин и Керри начали сбор средств для питомицы и нашли американскую компанию, изготавливающую на заказ инвалидные коляски для собак.
Самостоятельно ходить собака не может

Благодаря инвалидной коляске собака теперь ведет активный образ жизни

Ванда и посылка с коляской

Инвалидная коляска обошлась в £700, но она вернула Ванду к нормальной жизни.
Собака с удовольствием гуляет

38-летняя Керри признается: «Ванда — маленькое чудо. С каждым днем мы все больше гордимся ею. Покупка инвалидной коляски — наше лучшее решение. Она открыла так много возможностей».
Ветеринары до сих пор удивляются, что Ванда не только научилась передвигаться на инвалидной коляске, но еще и занимается плаванием.
Только зарегистрированные и авторизованные пользователи могут оставлять комментарии.
0
молодцы)
- ↓
0
Вот это ДА! Какие же молодцы девушки-волонтеры!!!
- ↓
+3
ЗдОрово! Молодцы Эйлин и Керри!!! Надо бороться до конца, они такие же как и мы, только лучше! Ванда такая красавица:)
- ↓

